스킵네비게이션

인공관절이란

글자크기 인쇄

슬관절의 이해

슬관절 사진으로 대퇴골,대퇴골 관절면,반월상 연골,비골,경골,슬개인대,측부인대,전방십자인대,후방십자인대,관절연골이 있다.

무릎은 위쪽 뼈(대퇴골)와 아래쪽 뼈(경골)가 만나는 부분으로 걷거나 계단 오르기 등 일상생활에서 가장 많이 사용하는 관절 중의 하나입니다. 각각의 뼈는 표면이 연골로 둘러싸여 있어 관절을 보호되지만 무릎관절은 많은 하중을 받으며 움직이는 곳으로 엉덩이 관절에 비해 불안정하기 때문에 쉽게 손상을 받을 수 있는 관절입니다.

 

슬관절염 증상

  1. 01슬관절 통증이 일상 생활(걷기, 구부리기, 계단 오르내리기)을 할 수 없을 정도로 심하거나 통증 때문에 보조 기구를 사용해야 걸을 수 있다.
  2. 02슬관절 통증이 휴식과 상관없이 종일 지속된다.
  3. 03휴식을 취하거나 약을 복용해도 만성적인 염증이나 부종이 거의 감소되지 않는다.
  4. 04무릎 기형 : 무릎이 안쪽 또는 바깥쪽으로 구부러졌다.
  5. 05무릎이 뻣뻣하다 : 무릎을 구부리거나 쭉 뻗는 것이 힘들다.
  6. 06초기에는 통증 감소에 효과가 있던 비스테로이드성 약물(이부프로펜,아스피린 등)이 이제는 더 이상 효과가 없다.
  7. 07진통제를 먹으면 다른 불편감이나 합병증으로 힘들다.
  8. 08물리 치료와 같은 다른 치료 요법을 받거나 보조기구(목발, 지팡이 등)를 사용하지만 효과가 없다.
 

슬관절 질병

  • 정상인의 관절 사진 (황막, 연골, 관절낭, 뼈)

    정상인의 관절

  • 류마티스성 관절염 사진 (활막에 생긴 염증)

    류마티스성 관절염

  • 퇴행성 관절염 사진(연골이 파괴된 상태)

    퇴행성 관절염

 

퇴행성 관절염 진행 단계

퇴행성 관절염 진행단계

 

슬관절 치환술

슬관절 치환술 사진

진행단계

인공슬관절 치환술은 무릎관절이 각종질환이나 외상 등의 원인으로 인해서 정상적인 일상 생활을 하지 못하고 장애가 심하면서 약물요법이나 물리치료 등에 치료가 불가능한 경우, 인공관절을 삽입하여 통증을 감소시키고 무릎관절 운동이 가능해지면서 동시에 안정성을 얻고 변형을 교정하여 일상적인 생활이 가능하게 해주는 수술입니다.

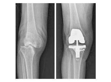
  • 퇴행성관절염으로 인공관절치환술 사진

    퇴행성관절염으로 인공관절치환술 시행

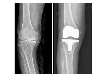
  • 골결손을 동반한 관절염으로 인공관절치환술 사진

    골결손을 동반한 관절염으로 인공관절치환술 시행