부산의료원 주메뉴
전체메뉴- 팩스번호051-507-3001
*교통사정에 따라 달라질 수 있으니
양해하여 주시기 바랍니다.
- 의료원출발10:20
- 연산로타리10:35
- 의료원도착10:55

허혈성 심장질환(협심증 및 심근 경색등)을 확진하는 검사로 관상동맥의 해부학적 구조 및 혈관의 협착정도를 알아보기 위한 표준검사입니다.
다양한 비침습적 검사(심전도 등)를 먼저 시행하여 협심증이나 심근경색이 의심되는 경우 확진을 위해 다음과 같은 검사를 시행합니다.
검사는 당일 입원절차(하루동안 입원하여 검사를 진행)를 거쳐 시행되며 입원수속한 뒤 검사설명에 대한 동의서 작성, 수액 및 약물 처치 후에 국소마취 하에 조영제를 사용하여 시행됩니다. 검사 후 병변이 심하지 않다고 판단되면, 검사를 위해 천자된 부위의 출혈이 없음을 확인한 뒤 퇴원하게 됩니다. 혈관성형술(풍선확장술, 혈관내스텐트삽입술) 시행시에는 수일간 입원 후 퇴원하게 됩니다.
검사시에는 입원절차를 거쳐야 한다는 번거로움이 있지만 진단과 동시에 치료를 진행할 수 있습니다.

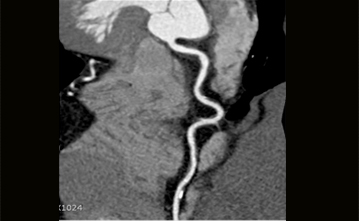
경피적 심혈관조영술과 같이 침습적이며 입원을 하여 시행하는 검사외에 외래에서 검사할 수 있는 CT 혈관 촬영술이 있습니다. 이는 6시간 정도의 금식이 필요하며, 다른 장기의 CT촬영과 방법이 같습니다. 조영제를 사용해서 혈관을 보는 검사방법이여서, 신장기능과 같은 기본 혈액검사의 결과를 확인 후 조영제를 정맥주사를 통해 주입하여서 그림과 같은 관상동맥의 구조와 협착정도를 눈으로 확인할 수 있게 됩니다. 입원의 절차도 필요없고, 동맥천자와 같은 침습적인 방법도 시행하지 않는다는 간편성은 있지만, 병변의 진단만 가능한 검사이며 심각한 협착이 발견된다면, 침습적 혈관조영술이 추가 필요하게 될 수도 있습니다.



심혈관검사나 치료의 전후, 동반된 판막질환, 심장 수축능 및 허혈성병변 위치 확인에 도움을 주며, 심낭압전 등의 다양한 응급 심장질환을 진단, 치료에 필요한 장비입니다.

카테터 입구에 풍선이 붙은 장비로 하행대동맥시작부에서 위치하도록 삽입하여 확장기에 풍선을 확장하여 관상동맥혈류량을 증가 시키고, 수축기에 풍선이 축소되어 말초순환을 유지하는 장비이다. 심인성 쇼크환자에서 혈압을 유지하면서 말초/관상동맥혈류량을 유지시켜줍니다.

관상동맥 조영술이 관상동맥의 해부학적 구조 및 협착을 진단하기 위한 검사로서 혈관의 협착은 평가할 수 있으나 혈관벽이 얼마나 두꺼운지, 동맥경화죽상반의 특성은 어떠한지, 동맥경화증의 범위가 어느 정도인지에 대한 정확한 평가가 어렵습니다. 이런 단점을 극복하기 위한 장비로 혈관내부로 진입하는 가느다란 관의 끝에 고속으로 회전하는 초음파를 부착하여 혈관 단면적이나 동맥경화 죽상반의 형태를 관찰하게 됩니다.
초음파를 이용하여 실시간으로 심장의 움직이는 모습을 관찰할 수 있으며 심장의 해부학적 구조의 이상, 판막질환, 심장수축능력평가, 심장내 압력, 허혈성심질환 등을 비침습적으로 관찰할 수 있는 검사법입니다. 특별한 전처치나 금식이 필요없는 검사이며 왼쪽으로 돌아누워 가슴에 탐촉자를 대고 시행하는 검사입니다. 30분에서 1시간가량 소요될 수 있습니다.



경흉부심초음파와 원리는 동일하나 식도로 초음파 기구를 삽입하여 심장 가까이에서 구조를 살펴보는 검사입니다. 최소한 6~8시간의 금식이 필요하며 검사 직전에 목부위를 마취하고, 수면유도제 등을 사용할 수도 있겠습니다. 경흉부심초음파에서의 이상소견에 대한 정밀한 검사를 요할 때 사용할 수 있는 검사입니다.

심방과 심근이 흥분되고 회복되는 동안 심장에는 전류가 생기는데 이것을 가슴에 부착한 전극을 통해 유도하여 심전도계에 기록하는 검사입니다. 이 검사는 모든 심장병환자에서 기본적으로 시행하는 검사로서, 심방 및 심실의 비대, 심근경색증, 부정맥, 심낭염, 약물의 영항, 전해질대사의 이상, 인공심박조율기의 기능 등에 진단적 가치가 있습니다. 가격이 저렴하고, 실시간으로 확인가능하며 반복적인 검사를 시행할 수 있습니다.

일반적으로 심장검사는 환자의 안정 상태에 시행하지만 운동부하 검사는 환자로 하여금 직접 운동을 하도록 하여 혈압, 맥박, 심전도의 변화를 관찰하는 검사입니다. 부정맥이나 협심증으로 인한 심근허혈 유무 진단이 필요한 경우에 시행합니다.
검사 소요시간은 약 30분정도로 환자에 따라 검사시간이 짧아지거나 길어질 수 있습니다. 특별한 지시가 없는 경우 평소 드시는 심장약은 드신뒤 검사시행하며, 운동에 편안한 복장으로 내원하시어 검사하시면 됩니다. 다리통증이나 거동이 불편할 경우 다른 검사로 대체하기도 합니다.

환자가 하루동안 일상생활을 하면서 심전도를 기록하는 방법으로 자연 발생하는 부정맥의 진단에 가장 적합한 검사입니다. 부정맥의 진단, 부정맥과 일상생활과의 관련성, 항부정맥 치료 효과의 판정, 인공 박동기의 기능판정등에 필요한 검사입니다.
전극은 가슴앞 상의 안으로 부착하며, 기계 부착후 귀가, 일상생활을 한뒤 다음날 제거하여, 기록된 심전도를 판독하게 됩니다. 검사 당일 샤워, 전기기구의 사용을 금합니다.

하루동안 일상생활을 하면서 혈압을 측정하는 검사입니다. 혈압의 높은 정도, 하루동안의 패턴 등을 알 수 있습니다.
비침습적인 방법인 추음파를 이용하여 경동맥 내막의 두께를 측정함으로써 조기 죽상동맥경화증을 진단 및 조기치료에 이용될 수 있다. 금식과 무관하며 검사시간은 10~20분가량 소요된다.

누운 자세에서 사지 혈압을 측정하면 하지가 상지보다 같거나 높게 나오는데 하지에 말초혈관질환이 있는 경우 하지가 낮게 측정된다. 검사소요시간은 15~20분 소요됩니다.
기립경 테이블검사, 6분보행검사